Cabinet ERCD - Vos dentistes à RENNES
Dr Sébastien Robert - Dr Grégoire Souleau - Dr Margaux Le Coq - Dr Maëlie Bouillon
41 Avenue Jean Janvier, 35000 RENNES
+33 2 99 30 87 44
Cabinet ERCD - Vos dentistes à RENNES
Dr Sébastien Robert - Dr Grégoire Souleau - Dr Margaux Le Coq - Dr Maëlie Bouillon

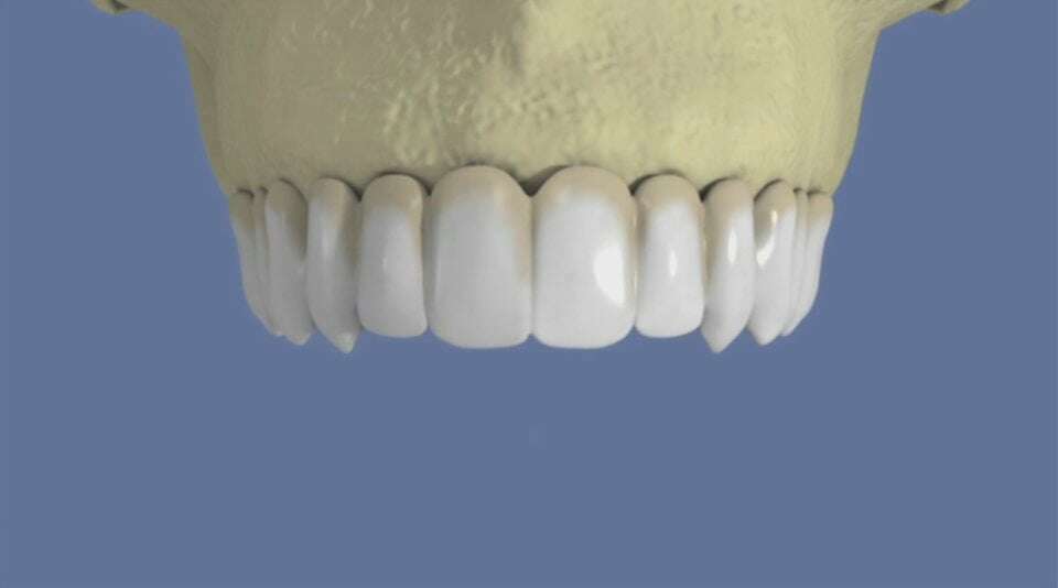
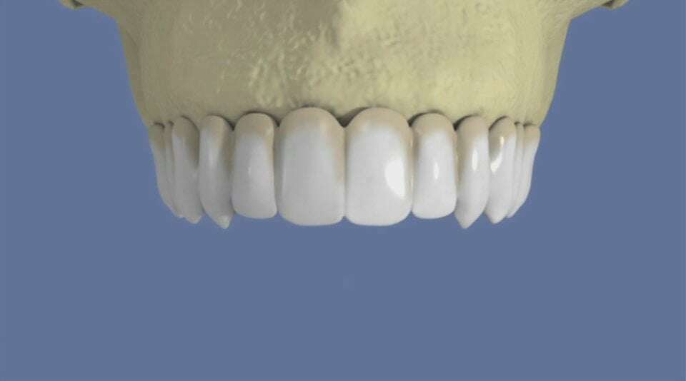
Maxillaire : bridge vissé sans fausse gencive


video-play-icon

Articles similaires

Création par Webdentiste

Connexion